科學家們發現,牙齦組織的自身修復速度是皮膚的兩倍,而且很少形成瘢痕!這時候科學家們不禁開始思考:口腔中究竟有什么物質發揮了加速傷口愈合的功能呢?
在研究中,施松濤教授團隊發現口腔間充質干細胞的一些獨特之處,尤其是牙齦間充質干細胞(GMSCs),促使牙齦傷口快速愈合就有它不小的功勞哦!
這個研究報告發表在了《Science Translational Medicine》上,讓我們一起看看吧!

口腔中的間充質干細胞
2000年,牙髓干細胞的發現為科學家打開了口腔干細胞研究的大門,之后陸續發現了脫落乳牙牙髓干細胞、牙齦干細胞等易獲取、生物活性高的口腔干細胞。

“在2009年,我們發現牙齦組織中含有間充質干細胞,這些細胞有很好的治療作用。隨后,我們發現牙齦間充質干細胞會釋放大量蛋白質,我們就在想,牙齦間充質干細胞是如何釋放這些物質的,它們對加速粘膜組織傷口愈合有效嗎?”這篇文章的通訊作者、賓夕法尼亞大學牙科醫學解剖學和細胞生物學教授、泰盛干細胞庫首席科學家施松濤教授介紹說:“我們曾經分不同路徑探索牙齦干細胞,在這項新研究中我們發現了幾個不同途徑的交叉點?!?/p>
科學家們是怎么進行研究的呢?
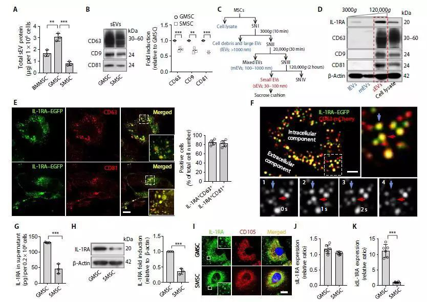
首先,他們選取人的牙齦間充質干細胞(GMSCs)、表皮間充質干細胞(SMSCs)進行培養,從培養液中分離出一種向細胞外分泌的小囊泡(sEVs)。通過分析,研究人員發現相較于SMSCs,GMSCs產生的sEVs包含更高含量的IL-1RA,而IL-1RA正是促炎癥因子的天然抑制劑。

在進行更深一步的研究后,兩種酶類出現在研究人員的視野中,它們分別是Fas/Fap-1和Cav-1。在一系列的基因敲除實驗后,其中的作用機制逐漸明了起來。Fap-1會和Cav-1形成復合體,控制SNAP25/VAMP5,再調控IL-1RA-Sev的釋放。
同時TNF-β也被發現有著調控IL-1RA-Sev的釋放的作用。TNF-β起到一種類似催化劑的作用,通過上調Fas和Fap-1來增加IL-1RA-Sev的釋放。

分子探針研究結果表明,Fas能夠形成Fap-1和Cav-1的蛋白復合體來誘發小型胞外囊泡的釋放。為了鑒別出這與傷口愈合的關聯,研究人員對傷口組織進行檢測,發現IL-1RA在傷口周圍的GMSCs中水平會增加,而缺失IL-1RA的小鼠的牙齦愈合速度也會明顯減慢。當從GMSCs分離IL-1RA,并將其注射到創傷部位時,則能顯著提高傷口的愈合速度。
臨床應用的意義
在研究詳細闡明了間充質干細胞影響傷口愈合的機制,這使的利用此類干細胞靶向治療相關疾病成為了可能,比如糖尿病,糖尿病的主要并發癥之一就是傷口愈合延遲。
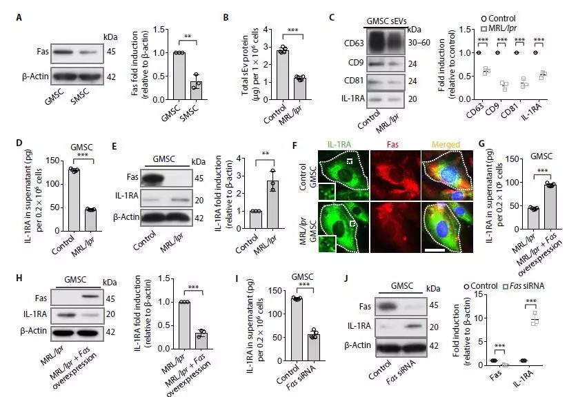
在研究中,研究人員發現相比于正常小鼠,糖尿病小鼠的GMSCs不太善于分泌胞外囊泡,IL-1RA的分泌也因此減少。通過在糖尿病小鼠體內引入有IL-1RA的sEVs,發現降低了糖尿病小鼠傷口愈合時間,可以說從很大程度上解決了糖尿病所致的機體分泌囊泡困難的問題。

研究人員表示:“我們的目標是建立和使用以細胞或胞外囊泡為基礎的疾病治療方案。由于牙齦間充質干細胞很容易從牙齦組織中獲得,會給后期的研究和臨床治療提供更大的便利,非常適合臨床應用。我們還想進一步研究,看看它們是否有助于減少疤痕形成、改善傷口愈合,甚至用于治療炎癥和自身免疫系疾病。”
諾貝爾獎得主穆拉德博士曾經說過:”干細胞領域將會給全球醫療界帶來根本性的變化,也會是下一個重大突破口,所研究出的成果將造福全人類。“
小科普:
口腔干細胞來源廣泛,6-12歲換牙期兒童的乳牙、青少年的智齒及正畸減數牙,經口腔醫生確定最佳時機采集源齒,采集后將從源齒中獲取的口腔干細胞,并存儲在-196℃液氮中,口腔干細胞是重要的醫療資源。
如果您的孩子即將掉牙,現在開始了解口腔干細胞,了解干細胞存儲,聯系值得信賴的干細胞庫,并將牙齒保存到具有高標準認證資質的干細胞庫中,對孩子和家人,都是一種健康保障。
在未來面對健康風險時,您的孩子和家人將比別人多一種與疾病抗爭的科技武器!